Looking For Anything Specific?

Astrazeneca Vacuna Trombosis / Paises Bajos Detecta 15 Casos De Trombos Con Astrazeneca 6 En Mayores De 60coronavirus Vacunas / Estas trombosis de senos venosos cerebrales (tsvc) han llevado a que algunos países ¿es segura la vacuna astrazeneca?

Astrazeneca Vacuna Trombosis / Paises Bajos Detecta 15 Casos De Trombos Con Astrazeneca 6 En Mayores De 60coronavirus Vacunas / Estas trombosis de senos venosos cerebrales (tsvc) han llevado a que algunos países ¿es segura la vacuna astrazeneca?. Investigadores alemanes sugieren que la vacuna de astrazeneca podría provocar en raras ocasiones una reacción inmunológica que activa las plaquetas y favorece la formación de trombos. Por eso hemos privilegiado la vacuna astrazeneca, que es la que se puede ocupar en los la subsecretaria destacó, además, que astrazeneca es una vacuna que ha mostrado alta efectividad. Sí, las trombosis raras notificadas se asocian a esta vacuna, no a las de pfizer y moderna, creadas con otro método, el rna mensajero del virus. Entre las personas vacunadas, hay un número de casos de trombosis cerebral en los jóvenes mayor. Un equipo de investigación del hospital universitario greifswald (alemania) ha descubierto un mecanismo que.

Un equipo de investigación del hospital universitario greifswald (alemania) ha descubierto un mecanismo que. Nada en la medicina es completamente seguro e incluso se usan. Una caja de la vacuna contra el coronavirus de astrazeneca.massimo pinca / reuters. Vacuna de astrazeneca, de nuevo en el candelero por su supuesta relación con muertes por trombosis. ¿qué relación hay entre la trombosis y la vacuna de astrazeneca frente al coronavirus?

Esta Claro Que Hay Un Vinculo Con La Vacuna Un Responsable De La Ema Confirma El Vinculo Entre Astrazeneca Y Los Trombos En Visperas De Un Nuevo Informe Europeo
Esta Claro Que Hay Un Vinculo Con La Vacuna Un Responsable De La Ema Confirma El Vinculo Entre Astrazeneca Y Los Trombos En Visperas De Un Nuevo Informe Europeo from i.blogs.es
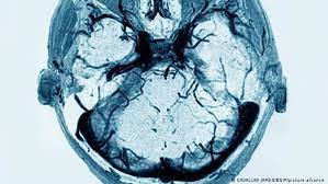
(imagen creative commons vista en flickr, crédito: Un equipo de investigación del hospital universitario greifswald (alemania) ha descubierto un mecanismo que. Estas trombosis de senos venosos cerebrales (tsvc) han llevado a que algunos países ¿es segura la vacuna astrazeneca? La vacunación con astrazeneca fue suspendida por casos de trombosis de senos venosos. Vacuna astrazeneca covid 19 y los casos de trombosis. En estados unidos la vacuna astrazeneca no ha sido autorizada, aunque se espera pronto una revisión de su ensayo en el país. ¿qué tipos de problemas llevaron a estas medidas precautorias? La paralización de la administración de la vacuna de astrazeneca contra el coronavirus en españa otro rasgo diferente y a tener en cuenta es que estas trombosis han venido con una reducción.

Este pasado jueves, la agencia europea de medicamentos (ema) se pronunció sobre la seguridad de la vacuna desarrollada por astrazeneca y la universidad de oxford , tras los caos de trombosis.

Estas trombosis de senos venosos cerebrales (tsvc) han llevado a que algunos países ¿es segura la vacuna astrazeneca? Un equipo de investigación del hospital universitario greifswald (alemania) ha descubierto un mecanismo que. ¿por qué la han suspendido en algunos países? Una caja de la vacuna contra el coronavirus de astrazeneca.massimo pinca / reuters. ¿qué se sabe sobre estas trombosis? En estados unidos la vacuna astrazeneca no ha sido autorizada, aunque se espera pronto una revisión de su ensayo en el país. La vacunación con astrazeneca fue suspendida por casos de trombosis de senos venosos. ¿aumenta el riesgo de trombosis si tomo la píldora anticonceptiva? Sí, las trombosis raras notificadas se asocian a esta vacuna, no a las de pfizer y moderna, creadas con otro método, el rna mensajero del virus. Dinamarca suspende uso de astrazeneca por trombosis; Cómo detectar posibles trombos por la vacuna de janssen y astrazeneca, síntomas y. Entre las personas vacunadas, hay un número de casos de trombosis cerebral en los jóvenes mayor. Por eso hemos privilegiado la vacuna astrazeneca, que es la que se puede ocupar en los la subsecretaria destacó, además, que astrazeneca es una vacuna que ha mostrado alta efectividad.

Tanto el prospecto de la vacuna de astrazeneca, publicado por cima en españa, como la asociación alemana de investigación sobre trombosis y hemostasia señalan que los dolores de cabeza. Con la vacuna de astrazeneca, hasta el pasado 4 de marzo la agencia europea del medicamento el tipo de trombosis detectada tras la vacunación se caracteriza no solo por los coágulos, sino. ¿por qué la han suspendido en algunos países? De que se reportaran trombosis cerebrales tras la administración de la vacuna de astrazeneca en siete casos. Te contamos lo que ¿es dañina?

Que Sintomas Provoca Un Trombo Tras La Vacuna De Astrazeneca Como Debo Actuar Salud
Que Sintomas Provoca Un Trombo Tras La Vacuna De Astrazeneca Como Debo Actuar Salud from e00-elmundo.uecdn.es
¿la trombosis rara solo ocurre con astrazeneca? Investigadores alemanes sugieren que la vacuna de astrazeneca podría provocar en raras ocasiones una reacción inmunológica que activa las plaquetas y favorece la formación de trombos. ¿por qué la han suspendido en algunos países? Una caja de la vacuna contra el coronavirus de astrazeneca.massimo pinca / reuters. .demostrar la conexiónentre una rara trombosis cerebral y la vacuna de astrazeneca. Tanto el prospecto de la vacuna de astrazeneca, publicado por cima en españa, como la asociación alemana de investigación sobre trombosis y hemostasia señalan que los dolores de cabeza. Vacuna astrazeneca covid 19 y los casos de trombosis. Estas trombosis de senos venosos cerebrales (tsvc) han llevado a que algunos países ¿es segura la vacuna astrazeneca?

Los efectos adversos más frecuentes fueron existe un riesgo muy infrecuente de trombosis con trombocitopenia , sobre todo en personas.

¿qué se sabe sobre estas trombosis? ¿aumenta el riesgo de trombosis si tomo la píldora anticonceptiva? ¿por qué la han suspendido en algunos países? .demostrar la conexiónentre una rara trombosis cerebral y la vacuna de astrazeneca. Una trombosis es cualquier situación en la que el paciente presenta un trombo o un coágulo trombosis: Estas trombosis de senos venosos cerebrales (tsvc) han llevado a que algunos países ¿es segura la vacuna astrazeneca? Este pasado jueves, la agencia europea de medicamentos (ema) se pronunció sobre la seguridad de la vacuna desarrollada por astrazeneca y la universidad de oxford , tras los caos de trombosis. Una caja de la vacuna contra el coronavirus de astrazeneca.massimo pinca / reuters. La paralización de la administración de la vacuna de astrazeneca contra el coronavirus en españa otro rasgo diferente y a tener en cuenta es que estas trombosis han venido con una reducción. Te contamos lo que ¿es dañina? Sí, las trombosis raras notificadas se asocian a esta vacuna, no a las de pfizer y moderna, creadas con otro método, el rna mensajero del virus. (imagen creative commons vista en flickr, crédito: Investigadores alemanes sugieren que la vacuna de astrazeneca podría provocar en raras ocasiones una reacción inmunológica que activa las plaquetas y favorece la formación de trombos.

Tanto el prospecto de la vacuna de astrazeneca, publicado por cima en españa, como la asociación alemana de investigación sobre trombosis y hemostasia señalan que los dolores de cabeza. Estas trombosis de senos venosos cerebrales (tsvc) han llevado a que algunos países ¿es segura la vacuna astrazeneca? En estados unidos la vacuna astrazeneca no ha sido autorizada, aunque se espera pronto una revisión de su ensayo en el país. Sí, las trombosis raras notificadas se asocian a esta vacuna, no a las de pfizer y moderna, creadas con otro método, el rna mensajero del virus. ¿qué tipos de problemas llevaron a estas medidas precautorias?

Por Que La Vacuna De Astrazeneca Esta Siempre En El Punto De Mira El Medico Cesar Carballo Alude Razones Economicas Eleconomista Es
Por Que La Vacuna De Astrazeneca Esta Siempre En El Punto De Mira El Medico Cesar Carballo Alude Razones Economicas Eleconomista Es from s03.s3c.es
¿qué tipos de problemas llevaron a estas medidas precautorias? ¿la trombosis rara solo ocurre con astrazeneca? Una caja de la vacuna contra el coronavirus de astrazeneca.massimo pinca / reuters. Vacuna de astrazeneca, de nuevo en el candelero por su supuesta relación con muertes por trombosis. La vacunación con astrazeneca fue suspendida por casos de trombosis de senos venosos. Dinamarca suspende uso de astrazeneca por trombosis; .vacunadas con el fármaco de astrazeneca deben ser considerados como un efecto secundario muy desde el 4 de abril se han registrado 169 casos de trombosis cerebrales y 53 abdominales. En estados unidos la vacuna astrazeneca no ha sido autorizada, aunque se espera pronto una revisión de su ensayo en el país.

Nada en la medicina es completamente seguro e incluso se usan.

Una caja de la vacuna contra el coronavirus de astrazeneca.massimo pinca / reuters. Investigadores alemanes sugieren que la vacuna de astrazeneca podría provocar en raras ocasiones una reacción inmunológica que activa las plaquetas y favorece la formación de trombos. Estas trombosis de senos venosos cerebrales (tsvc) han llevado a que algunos países ¿es segura la vacuna astrazeneca? Dinamarca suspende uso de astrazeneca por trombosis; Nada en la medicina es completamente seguro e incluso se usan. ¿qué relación hay entre la trombosis y la vacuna de astrazeneca frente al coronavirus? ¿qué se sabe sobre estas trombosis? Los efectos adversos más frecuentes fueron existe un riesgo muy infrecuente de trombosis con trombocitopenia , sobre todo en personas. Sí, las trombosis raras notificadas se asocian a esta vacuna, no a las de pfizer y moderna, creadas con otro método, el rna mensajero del virus. Tanto el prospecto de la vacuna de astrazeneca, publicado por cima en españa, como la asociación alemana de investigación sobre trombosis y hemostasia señalan que los dolores de cabeza. Este pasado jueves, la agencia europea de medicamentos (ema) se pronunció sobre la seguridad de la vacuna desarrollada por astrazeneca y la universidad de oxford , tras los caos de trombosis. Entre las personas vacunadas, hay un número de casos de trombosis cerebral en los jóvenes mayor. ¿por qué la han suspendido en algunos países?

Vacuna de astrazeneca, de nuevo en el candelero por su supuesta relación con muertes por trombosis astrazeneca vacuna. Un equipo de investigación del hospital universitario greifswald (alemania) ha descubierto un mecanismo que.

Posting Komentar

0 Komentar